Caring for Smiles, One Family at a Time.

Orange County's Premier Dental Network
Excellence in Dental Care Across Orange County

Caring for Smiles One Family at a Time

Compassionate Care, Beautiful Results

Experience personalized dental care at any of our Orange County locations. Our expert teams combine advanced technology with gentle care to help you achieve the healthy, confident smile you deserve.

25+

Years Experience

15K+

Happy Patients

4.9

Star Rating

ADA Member
Emergency Care
Flexible Financing
Scroll to Explore
Personalized Assessment

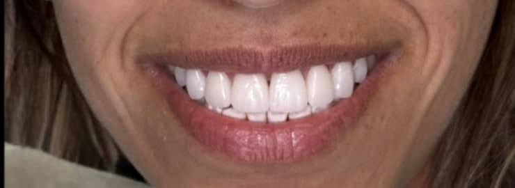
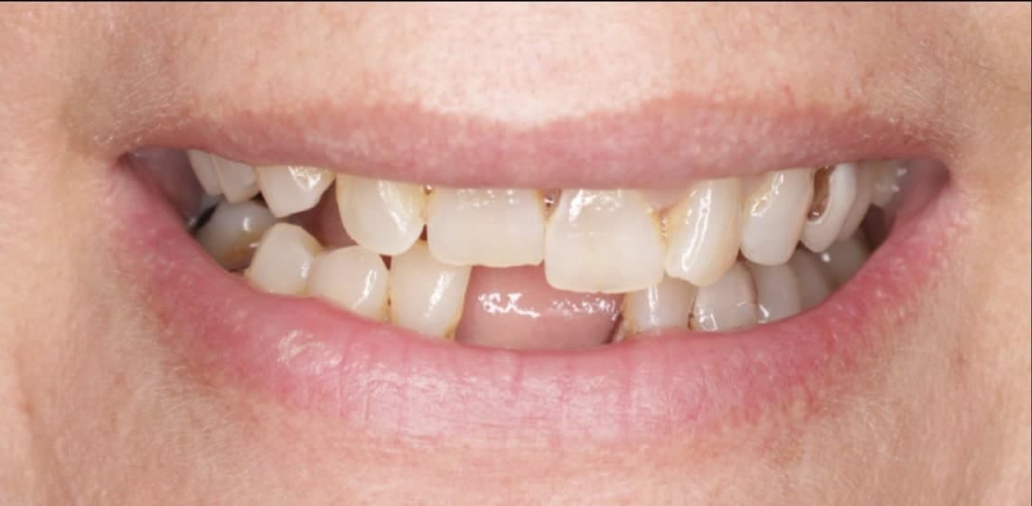
Restore Your Smile withConfidence

Missing teeth can affect your confidence and quality of life. Our personalized quiz helps us understand your unique needs and recommend the best dental implant solutions for you.

Why Take Our Quiz?

Get personalized treatment recommendations
Learn about your dental implant options
Receive a custom care plan from Dr. Peter Zakhary
Understand timeline and next steps
No obligation - just helpful information

Takes only 3-5 minutes to complete

Start your journey to a complete, confident smile today

20+
Years Combined Experience
1000+
Successful Implants
5β˜…
Patient Satisfaction
Our Locations

Convenient Care Near You

Visit any of our state-of-the-art dental centers across Orange County. Each location offers the same exceptional care and comprehensive services.

Our Services

Comprehensive Dental Care

From routine cleanings to advanced procedures, our expert teams offer a full range of dental services at every location.

Scroll to explore our services
01/03
01General Dentistry

Your Foundation for Lifelong Oral Health

Our comprehensive general dentistry services ensure your smile stays healthy and beautiful. From routine check-ups to advanced restorative procedures, our experienced team provides personalized care in a comfortable, state-of-the-art environment.

    Book Consultation
    General Dentistry
    02Orthodontics

    Transform Your Smile with Confidence

    Achieve the perfectly aligned smile you've always wanted with our advanced orthodontic treatments. Whether you prefer traditional braces or virtually invisible Invisalign aligners, our specialists create customized treatment plans for patients of all ages.

      Book Consultation
      Orthodontics
      03Dental Implants

      Restore Your Smile, Restore Your Life

      Experience the most advanced tooth replacement solution available. Our dental implants provide a permanent, natural-looking restoration that functions just like your original teeth, giving you back the confidence to eat, speak, and smile without hesitation.

        Book Consultation
        Dental Implants
        About OC Dental Centers

        A Legacy of Excellence, A Network of Care

        OC Dental Centers - Modern dental care facility

        OC Dental Centers brings together Orange County's finest dental professionals under one trusted brand. With decades of combined experience and a shared commitment to patient-centered care, our network of clinics delivers exceptional results at every location.

        Compassionate Care β€” We treat every patient like family, with warmth and personalized attention.
        Clinical Excellence β€” Our team stays at the forefront of dental technology for optimal outcomes.
        Integrity & Trust β€” Honest communication and transparent treatment plans you can rely on.

        30+

        Years Experience

        50K+

        Happy Patients

        2

        Locations

        5-Star Reviews

        What Our Patients Say

        Real stories from real patients across our Orange County dental centers. Your smile is our greatest reward.

        β€œThe Smiles dentistry team is awesome. I've been coming here for the last six years. The staff is very knowledgeable and polite. They always work with me to accommodate me. Very professional, friendly and wonderful just like family!”

        RC

        Roberto Clemente

        Anaheim Smile Center

        β€œI was blown away by the level of care and attention from start to finish! Dr. Yang was incredibly friendly and attentive. The cleaning was thorough and the most relaxing experience I've had at a dentist's office!”

        EH

        Edmund Hsu

        Anaheim Smile Center

        β€œI have major anxiety going to the dentist but I had a great experience at this location. It's very clean and staff is friendly. Dr. Bernice is very gentle and I didn't feel shamed. They made my experience very relaxing!”

        RR

        Rebecca Rivera

        Anaheim Smile Center

        β€œI just got my implants done today. I'm so happy with the results. Dr. James is very professional. And the staff very friendly. Thank you SoCal Smiles!”

        AM

        Alberto Montano

        Anaheim Smile Center

        β€œThe dentist and staff are friendly, professional, and very detail-oriented. They take their time, answer every question thoroughly, and make sure you feel comfortable throughout the visit!”

        HH

        Hue Huynh

        Anaheim Smile Center

        β€œSo Cal Smiles has always done the right thing for myself and my family. Dr Bernice is an excellent dentist and I am very satisfied with her work. I highly recommend them!”

        JH

        Joseph Hammer

        Anaheim Smile Center

        β€œA very kind and professional staff. They work with patients with kindness and professionalism. The Office Manager is outstanding and will treat you like family!”

        MK

        Marvin Kim

        Anaheim Smile Center

        β€œVery clean office. The staff is very attentive and knowledgeable and the dentist did a wonderful job on cleaning my teeth and very gentle.”

        AQ

        Amy Quach

        Anaheim Smile Center

        β€œ100% satisfied with my experience at Buena Park Dental Center. I've had fillings and an implant done with no issues. The hygienist is thorough and friendly. They make me want to keep my appointments!”

        C

        Cris

        Buena Park Dental Center

        β€œEveryone was very sweet, kind and helpful. A wonderful job by the hygienist. Very informative and helpful on what I can do to better my dental hygiene. The dentist was pleasant and encouraging!”

        KM

        Karen McLaren

        Buena Park Dental Center

        β€œGreat front desk. They call next day to check in how patients are doing after treatment. Dr. Peter Zakhary is great about hearing patient concerns and educating. Highly recommend this location!”

        GE

        Garrick Estes

        Buena Park Dental Center

        β€œEmergency visit. The staff was very helpful, thoughtful and kind. I have a fear of dentists. The dentist was excellent, explained the procedure and made sure I was comfortable. Highly recommend!”

        SH

        Stefanie Hildebrandt

        Buena Park Dental Center

        β€œFantastic service! The dentists were kind, patient and super professional. During my cleaning the dentist taught me what I could do to improve my gum and teeth health. Really glad I found this place!”

        HV

        Hector Vega

        Buena Park Dental Center

        β€œStaff was very helpful and friendly. Offices were nice and most importantly Dr. Zac was gentle and gave me a beautiful smile. I was more than happy with the results!”

        GM

        Gina Muller

        Buena Park Dental Center

        β€œI had a great experience getting my wisdom tooth removed. The staff is incredibly nice and made me feel comfortable from start to finish. The doctor was professional and kind!”

        MS

        Myriam Sanchez

        Buena Park Dental Center

        β€œI took my mother in for dental work; she suffers from dementia. Throughout the entire visit she was treated with kindness and patience. I HIGHLY recommend Buena Park Dental!”

        SB

        Sue Burkschab

        Buena Park Dental Center

        β€œThe Smiles dentistry team is awesome. I've been coming here for the last six years. The staff is very knowledgeable and polite. They always work with me to accommodate me. Very professional, friendly and wonderful just like family!”

        RC

        Roberto Clemente

        Anaheim Smile Center

        β€œI was blown away by the level of care and attention from start to finish! Dr. Yang was incredibly friendly and attentive. The cleaning was thorough and the most relaxing experience I've had at a dentist's office!”

        EH

        Edmund Hsu

        Anaheim Smile Center

        β€œI have major anxiety going to the dentist but I had a great experience at this location. It's very clean and staff is friendly. Dr. Bernice is very gentle and I didn't feel shamed. They made my experience very relaxing!”

        RR

        Rebecca Rivera

        Anaheim Smile Center

        β€œI just got my implants done today. I'm so happy with the results. Dr. James is very professional. And the staff very friendly. Thank you SoCal Smiles!”

        AM

        Alberto Montano

        Anaheim Smile Center

        β€œThe dentist and staff are friendly, professional, and very detail-oriented. They take their time, answer every question thoroughly, and make sure you feel comfortable throughout the visit!”

        HH

        Hue Huynh

        Anaheim Smile Center

        β€œSo Cal Smiles has always done the right thing for myself and my family. Dr Bernice is an excellent dentist and I am very satisfied with her work. I highly recommend them!”

        JH

        Joseph Hammer

        Anaheim Smile Center

        β€œA very kind and professional staff. They work with patients with kindness and professionalism. The Office Manager is outstanding and will treat you like family!”

        MK

        Marvin Kim

        Anaheim Smile Center

        β€œVery clean office. The staff is very attentive and knowledgeable and the dentist did a wonderful job on cleaning my teeth and very gentle.”

        AQ

        Amy Quach

        Anaheim Smile Center

        β€œ100% satisfied with my experience at Buena Park Dental Center. I've had fillings and an implant done with no issues. The hygienist is thorough and friendly. They make me want to keep my appointments!”

        C

        Cris

        Buena Park Dental Center

        β€œEveryone was very sweet, kind and helpful. A wonderful job by the hygienist. Very informative and helpful on what I can do to better my dental hygiene. The dentist was pleasant and encouraging!”

        KM

        Karen McLaren

        Buena Park Dental Center

        β€œGreat front desk. They call next day to check in how patients are doing after treatment. Dr. Peter Zakhary is great about hearing patient concerns and educating. Highly recommend this location!”

        GE

        Garrick Estes

        Buena Park Dental Center

        β€œEmergency visit. The staff was very helpful, thoughtful and kind. I have a fear of dentists. The dentist was excellent, explained the procedure and made sure I was comfortable. Highly recommend!”

        SH

        Stefanie Hildebrandt

        Buena Park Dental Center

        β€œFantastic service! The dentists were kind, patient and super professional. During my cleaning the dentist taught me what I could do to improve my gum and teeth health. Really glad I found this place!”

        HV

        Hector Vega

        Buena Park Dental Center

        β€œStaff was very helpful and friendly. Offices were nice and most importantly Dr. Zac was gentle and gave me a beautiful smile. I was more than happy with the results!”

        GM

        Gina Muller

        Buena Park Dental Center

        β€œI had a great experience getting my wisdom tooth removed. The staff is incredibly nice and made me feel comfortable from start to finish. The doctor was professional and kind!”

        MS

        Myriam Sanchez

        Buena Park Dental Center

        β€œI took my mother in for dental work; she suffers from dementia. Throughout the entire visit she was treated with kindness and patience. I HIGHLY recommend Buena Park Dental!”

        SB

        Sue Burkschab

        Buena Park Dental Center

        β€œThe Smiles dentistry team is awesome. I've been coming here for the last six years. The staff is very knowledgeable and polite. They always work with me to accommodate me. Very professional, friendly and wonderful just like family!”

        RC

        Roberto Clemente

        Anaheim Smile Center

        β€œI was blown away by the level of care and attention from start to finish! Dr. Yang was incredibly friendly and attentive. The cleaning was thorough and the most relaxing experience I've had at a dentist's office!”

        EH

        Edmund Hsu

        Anaheim Smile Center

        β€œI have major anxiety going to the dentist but I had a great experience at this location. It's very clean and staff is friendly. Dr. Bernice is very gentle and I didn't feel shamed. They made my experience very relaxing!”

        RR

        Rebecca Rivera

        Anaheim Smile Center

        β€œI just got my implants done today. I'm so happy with the results. Dr. James is very professional. And the staff very friendly. Thank you SoCal Smiles!”

        AM

        Alberto Montano

        Anaheim Smile Center

        β€œThe dentist and staff are friendly, professional, and very detail-oriented. They take their time, answer every question thoroughly, and make sure you feel comfortable throughout the visit!”

        HH

        Hue Huynh

        Anaheim Smile Center

        β€œSo Cal Smiles has always done the right thing for myself and my family. Dr Bernice is an excellent dentist and I am very satisfied with her work. I highly recommend them!”

        JH

        Joseph Hammer

        Anaheim Smile Center

        β€œA very kind and professional staff. They work with patients with kindness and professionalism. The Office Manager is outstanding and will treat you like family!”

        MK

        Marvin Kim

        Anaheim Smile Center

        β€œVery clean office. The staff is very attentive and knowledgeable and the dentist did a wonderful job on cleaning my teeth and very gentle.”

        AQ

        Amy Quach

        Anaheim Smile Center

        β€œ100% satisfied with my experience at Buena Park Dental Center. I've had fillings and an implant done with no issues. The hygienist is thorough and friendly. They make me want to keep my appointments!”

        C

        Cris

        Buena Park Dental Center

        β€œEveryone was very sweet, kind and helpful. A wonderful job by the hygienist. Very informative and helpful on what I can do to better my dental hygiene. The dentist was pleasant and encouraging!”

        KM

        Karen McLaren

        Buena Park Dental Center

        β€œGreat front desk. They call next day to check in how patients are doing after treatment. Dr. Peter Zakhary is great about hearing patient concerns and educating. Highly recommend this location!”

        GE

        Garrick Estes

        Buena Park Dental Center

        β€œEmergency visit. The staff was very helpful, thoughtful and kind. I have a fear of dentists. The dentist was excellent, explained the procedure and made sure I was comfortable. Highly recommend!”

        SH

        Stefanie Hildebrandt

        Buena Park Dental Center

        β€œFantastic service! The dentists were kind, patient and super professional. During my cleaning the dentist taught me what I could do to improve my gum and teeth health. Really glad I found this place!”

        HV

        Hector Vega

        Buena Park Dental Center

        β€œStaff was very helpful and friendly. Offices were nice and most importantly Dr. Zac was gentle and gave me a beautiful smile. I was more than happy with the results!”

        GM

        Gina Muller

        Buena Park Dental Center

        β€œI had a great experience getting my wisdom tooth removed. The staff is incredibly nice and made me feel comfortable from start to finish. The doctor was professional and kind!”

        MS

        Myriam Sanchez

        Buena Park Dental Center

        β€œI took my mother in for dental work; she suffers from dementia. Throughout the entire visit she was treated with kindness and patience. I HIGHLY recommend Buena Park Dental!”

        SB

        Sue Burkschab

        Buena Park Dental Center

        β€œI took my mother in for dental work; she suffers from dementia. Throughout the entire visit she was treated with kindness and patience. I HIGHLY recommend Buena Park Dental!”

        SB

        Sue Burkschab

        Buena Park Dental Center

        β€œI had a great experience getting my wisdom tooth removed. The staff is incredibly nice and made me feel comfortable from start to finish. The doctor was professional and kind!”

        MS

        Myriam Sanchez

        Buena Park Dental Center

        β€œStaff was very helpful and friendly. Offices were nice and most importantly Dr. Zac was gentle and gave me a beautiful smile. I was more than happy with the results!”

        GM

        Gina Muller

        Buena Park Dental Center

        β€œFantastic service! The dentists were kind, patient and super professional. During my cleaning the dentist taught me what I could do to improve my gum and teeth health. Really glad I found this place!”

        HV

        Hector Vega

        Buena Park Dental Center

        β€œEmergency visit. The staff was very helpful, thoughtful and kind. I have a fear of dentists. The dentist was excellent, explained the procedure and made sure I was comfortable. Highly recommend!”

        SH

        Stefanie Hildebrandt

        Buena Park Dental Center

        β€œGreat front desk. They call next day to check in how patients are doing after treatment. Dr. Peter Zakhary is great about hearing patient concerns and educating. Highly recommend this location!”

        GE

        Garrick Estes

        Buena Park Dental Center

        β€œEveryone was very sweet, kind and helpful. A wonderful job by the hygienist. Very informative and helpful on what I can do to better my dental hygiene. The dentist was pleasant and encouraging!”

        KM

        Karen McLaren

        Buena Park Dental Center

        β€œ100% satisfied with my experience at Buena Park Dental Center. I've had fillings and an implant done with no issues. The hygienist is thorough and friendly. They make me want to keep my appointments!”

        C

        Cris

        Buena Park Dental Center

        β€œVery clean office. The staff is very attentive and knowledgeable and the dentist did a wonderful job on cleaning my teeth and very gentle.”

        AQ

        Amy Quach

        Anaheim Smile Center

        β€œA very kind and professional staff. They work with patients with kindness and professionalism. The Office Manager is outstanding and will treat you like family!”

        MK

        Marvin Kim

        Anaheim Smile Center

        β€œSo Cal Smiles has always done the right thing for myself and my family. Dr Bernice is an excellent dentist and I am very satisfied with her work. I highly recommend them!”

        JH

        Joseph Hammer

        Anaheim Smile Center

        β€œThe dentist and staff are friendly, professional, and very detail-oriented. They take their time, answer every question thoroughly, and make sure you feel comfortable throughout the visit!”

        HH

        Hue Huynh

        Anaheim Smile Center

        β€œI just got my implants done today. I'm so happy with the results. Dr. James is very professional. And the staff very friendly. Thank you SoCal Smiles!”

        AM

        Alberto Montano

        Anaheim Smile Center

        β€œI have major anxiety going to the dentist but I had a great experience at this location. It's very clean and staff is friendly. Dr. Bernice is very gentle and I didn't feel shamed. They made my experience very relaxing!”

        RR

        Rebecca Rivera

        Anaheim Smile Center

        β€œI was blown away by the level of care and attention from start to finish! Dr. Yang was incredibly friendly and attentive. The cleaning was thorough and the most relaxing experience I've had at a dentist's office!”

        EH

        Edmund Hsu

        Anaheim Smile Center

        β€œThe Smiles dentistry team is awesome. I've been coming here for the last six years. The staff is very knowledgeable and polite. They always work with me to accommodate me. Very professional, friendly and wonderful just like family!”

        RC

        Roberto Clemente

        Anaheim Smile Center

        β€œI took my mother in for dental work; she suffers from dementia. Throughout the entire visit she was treated with kindness and patience. I HIGHLY recommend Buena Park Dental!”

        SB

        Sue Burkschab

        Buena Park Dental Center

        β€œI had a great experience getting my wisdom tooth removed. The staff is incredibly nice and made me feel comfortable from start to finish. The doctor was professional and kind!”

        MS

        Myriam Sanchez

        Buena Park Dental Center

        β€œStaff was very helpful and friendly. Offices were nice and most importantly Dr. Zac was gentle and gave me a beautiful smile. I was more than happy with the results!”

        GM

        Gina Muller

        Buena Park Dental Center

        β€œFantastic service! The dentists were kind, patient and super professional. During my cleaning the dentist taught me what I could do to improve my gum and teeth health. Really glad I found this place!”

        HV

        Hector Vega

        Buena Park Dental Center

        β€œEmergency visit. The staff was very helpful, thoughtful and kind. I have a fear of dentists. The dentist was excellent, explained the procedure and made sure I was comfortable. Highly recommend!”

        SH

        Stefanie Hildebrandt

        Buena Park Dental Center

        β€œGreat front desk. They call next day to check in how patients are doing after treatment. Dr. Peter Zakhary is great about hearing patient concerns and educating. Highly recommend this location!”

        GE

        Garrick Estes

        Buena Park Dental Center

        β€œEveryone was very sweet, kind and helpful. A wonderful job by the hygienist. Very informative and helpful on what I can do to better my dental hygiene. The dentist was pleasant and encouraging!”

        KM

        Karen McLaren

        Buena Park Dental Center

        β€œ100% satisfied with my experience at Buena Park Dental Center. I've had fillings and an implant done with no issues. The hygienist is thorough and friendly. They make me want to keep my appointments!”

        C

        Cris

        Buena Park Dental Center

        β€œVery clean office. The staff is very attentive and knowledgeable and the dentist did a wonderful job on cleaning my teeth and very gentle.”

        AQ

        Amy Quach

        Anaheim Smile Center

        β€œA very kind and professional staff. They work with patients with kindness and professionalism. The Office Manager is outstanding and will treat you like family!”

        MK

        Marvin Kim

        Anaheim Smile Center

        β€œSo Cal Smiles has always done the right thing for myself and my family. Dr Bernice is an excellent dentist and I am very satisfied with her work. I highly recommend them!”

        JH

        Joseph Hammer

        Anaheim Smile Center

        β€œThe dentist and staff are friendly, professional, and very detail-oriented. They take their time, answer every question thoroughly, and make sure you feel comfortable throughout the visit!”

        HH

        Hue Huynh

        Anaheim Smile Center

        β€œI just got my implants done today. I'm so happy with the results. Dr. James is very professional. And the staff very friendly. Thank you SoCal Smiles!”

        AM

        Alberto Montano

        Anaheim Smile Center

        β€œI have major anxiety going to the dentist but I had a great experience at this location. It's very clean and staff is friendly. Dr. Bernice is very gentle and I didn't feel shamed. They made my experience very relaxing!”

        RR

        Rebecca Rivera

        Anaheim Smile Center

        β€œI was blown away by the level of care and attention from start to finish! Dr. Yang was incredibly friendly and attentive. The cleaning was thorough and the most relaxing experience I've had at a dentist's office!”

        EH

        Edmund Hsu

        Anaheim Smile Center

        β€œThe Smiles dentistry team is awesome. I've been coming here for the last six years. The staff is very knowledgeable and polite. They always work with me to accommodate me. Very professional, friendly and wonderful just like family!”

        RC

        Roberto Clemente

        Anaheim Smile Center

        β€œI took my mother in for dental work; she suffers from dementia. Throughout the entire visit she was treated with kindness and patience. I HIGHLY recommend Buena Park Dental!”

        SB

        Sue Burkschab

        Buena Park Dental Center

        β€œI had a great experience getting my wisdom tooth removed. The staff is incredibly nice and made me feel comfortable from start to finish. The doctor was professional and kind!”

        MS

        Myriam Sanchez

        Buena Park Dental Center

        β€œStaff was very helpful and friendly. Offices were nice and most importantly Dr. Zac was gentle and gave me a beautiful smile. I was more than happy with the results!”

        GM

        Gina Muller

        Buena Park Dental Center

        β€œFantastic service! The dentists were kind, patient and super professional. During my cleaning the dentist taught me what I could do to improve my gum and teeth health. Really glad I found this place!”

        HV

        Hector Vega

        Buena Park Dental Center

        β€œEmergency visit. The staff was very helpful, thoughtful and kind. I have a fear of dentists. The dentist was excellent, explained the procedure and made sure I was comfortable. Highly recommend!”

        SH

        Stefanie Hildebrandt

        Buena Park Dental Center

        β€œGreat front desk. They call next day to check in how patients are doing after treatment. Dr. Peter Zakhary is great about hearing patient concerns and educating. Highly recommend this location!”

        GE

        Garrick Estes

        Buena Park Dental Center

        β€œEveryone was very sweet, kind and helpful. A wonderful job by the hygienist. Very informative and helpful on what I can do to better my dental hygiene. The dentist was pleasant and encouraging!”

        KM

        Karen McLaren

        Buena Park Dental Center

        β€œ100% satisfied with my experience at Buena Park Dental Center. I've had fillings and an implant done with no issues. The hygienist is thorough and friendly. They make me want to keep my appointments!”

        C

        Cris

        Buena Park Dental Center

        β€œVery clean office. The staff is very attentive and knowledgeable and the dentist did a wonderful job on cleaning my teeth and very gentle.”

        AQ

        Amy Quach

        Anaheim Smile Center

        β€œA very kind and professional staff. They work with patients with kindness and professionalism. The Office Manager is outstanding and will treat you like family!”

        MK

        Marvin Kim

        Anaheim Smile Center

        β€œSo Cal Smiles has always done the right thing for myself and my family. Dr Bernice is an excellent dentist and I am very satisfied with her work. I highly recommend them!”

        JH

        Joseph Hammer

        Anaheim Smile Center

        β€œThe dentist and staff are friendly, professional, and very detail-oriented. They take their time, answer every question thoroughly, and make sure you feel comfortable throughout the visit!”

        HH

        Hue Huynh

        Anaheim Smile Center

        β€œI just got my implants done today. I'm so happy with the results. Dr. James is very professional. And the staff very friendly. Thank you SoCal Smiles!”

        AM

        Alberto Montano

        Anaheim Smile Center

        β€œI have major anxiety going to the dentist but I had a great experience at this location. It's very clean and staff is friendly. Dr. Bernice is very gentle and I didn't feel shamed. They made my experience very relaxing!”

        RR

        Rebecca Rivera

        Anaheim Smile Center

        β€œI was blown away by the level of care and attention from start to finish! Dr. Yang was incredibly friendly and attentive. The cleaning was thorough and the most relaxing experience I've had at a dentist's office!”

        EH

        Edmund Hsu

        Anaheim Smile Center

        β€œThe Smiles dentistry team is awesome. I've been coming here for the last six years. The staff is very knowledgeable and polite. They always work with me to accommodate me. Very professional, friendly and wonderful just like family!”

        RC

        Roberto Clemente

        Anaheim Smile Center

        Get In Touch

        Contact Us

        Ready to start your journey to a healthier smile? Reach out to any of our locations.

        Send Us a Message

        Fill out the form below and we'll get back to you as soon as possible.

        Buena Park

        Dental Center

        Office Hours
        Monday10:00 AM - 7:00 PM
        Tuesday10:00 AM - 7:00 PM
        Wednesday10:00 AM - 6:00 PM
        Thursday10:00 AM - 5:00 PM
        FridayBy Appointment
        Saturday9:00 AM - 2:00 PM
        SundayClosed

        Anaheim

        Smile Center

        Office Hours
        Monday9:00 AM - 6:00 PM
        Tuesday9:00 AM - 6:00 PM
        Wednesday9:00 AM - 6:00 PM
        Thursday9:00 AM - 6:00 PM
        Friday9:00 AM - 6:00 PM
        SaturdayClosed
        SundayClosed